Language English

Chest Wall Tumor Resection And Chest Wall Reconstruction For A 20-year-old Patient

Medical History

The patient, only 20 years old, developed an egg-sized mass on the right chest wall 6 months ago. Despite conservative treatment, there has been no obvious improvement. More concerning, the mass has continued to grow and now has affected multiple ribs, prompting the patient to urgently seek surgical treatment.

Preoperative Examination

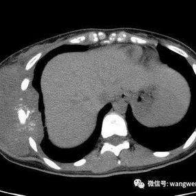
There is a large tumor on the right chest wall, with dimensions of approximately 30x25x20 cm. It is firm, tender to the touch, and has limited mobility. The tumor has already involved the 5th through 8th ribs on the right side.

Surgical Procedures

1. An incision was made on the right posterior chest wall to expose the tumor, which was then resected along with the affected ribs.

2. The chest wall defect was repaired using MatrixRIBs. Once the repair was completed, the Matrix RIBs were covered with fibrous membranes on both their internal and external surfaces.

3. A drainage tube was indwelt in the chest cavity.

4. The incision was closed, and the surgery was completed.

Related Photos

Learn More

Next-Generation Repair Materials—Exploring the Use of Digital Materials in Chest Wall Reconstruction Surgery

Surgery for tumors in the chest wall is generally more complex than surgeries for tumors located elsewhere. In such operations, not only is the resection of the tumor required, but the reconstruction of the bone structure of the chest wall is also necessary. Without this reconstruction, the resulting bone defect could adversely affect both the patient's normal physiological functions and the appearance of the chest wall.

Chest wall reconstruction has always been a highly challenging task, primarily due to the limitations of repair materials. Although various materials are available for clinical use, each comes with significant drawbacks, which have greatly restricted the advancement of chest wall reconstruction surgery.

To seek more optimal repair material, the Institute of Chest Wall Surgery (ICWS) has pioneered the concept of digital material. This next-generation repair material is manufactured under direct digital control throughout all processing stages. The production process is as follows:

1. Obtain patient’s lesion data; 2. Create digital images of the lesion; 3. Simulate the extent of the lesion resection with computer; 4. Simulate the specific area for surgical repair using computer; 5. Determine the precise shape of the material using computer; 6. Manufacture the material using specialized techniques.

Digital material offers a high degree of personalization and precision, as it is designed and produced strictly based on patient-specific lesion data. Additionally, the specialized manufacturing techniques allow for extremely fine detail in the operational areas of the digital materials, making them easier to handle during surgery and significantly reducing the complexity of the procedure.