Language English

Minimally Invasive Surgery For A Patient With Severe Pectus Carinatum

Medical History

The patient is a 29-year-old male who has been living with the chest wall deformity since childhood. Over time, the protrusion of his anterior chest wall worsened, particularly after he entered puberty. In 2016, he experienced sudden breathing difficulties and went to the hospital, where he was diagnosed with spontaneous pneumothorax and underwent surgery. However, no treatment was done for his chest wall deformity. Since then, the patient has visited several hospitals in an attempt to treat his deformity, but due to its severity, he has not received any treatment. Eventually, the patient came to our hospital for help.

Preoperative Examination

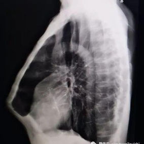
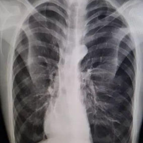
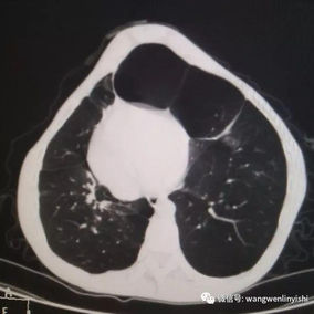
After a preoperative examination, it is observed that the patient's anterior chest wall protruded severely, reaching its peak at the xiphoid process, which presented as a 90-degree angle when viewed from the side. The heart is displaced to the right chest cavity, and the torso is severely deformed, characterized by a broad chest and a noticeably narrowed waist and abdominal area. The narrowing is most pronounced above the pelvis. Moreover, a chest CT scan reveals two large cysts located between the heart and the anterior chest wall in the lower lobe of the left lung, measuring 7x8 cm and 9x10 cm respectively.

Surgical Overview

We developed and executed a personalized minimally invasive surgical treatment plan for the patient. The Wung procedure and the Wenlin procedure was performed during the operation. First, a 3 cm longitudinal incision was made on the left chest wall to insert a thoracoscope, which was used to explore and remove the cysts on the left lung. Second, another 3 cm incision was made on the right chest wall and two passage tunnels were constructed for the bars between these two incisions. A third tunnel was then constructed near the costal arch, and three pre-shaped bars were inserted into the tunnels to correct the deformity. Lastly, the bars were securely fixed, and the incisions were sutured. The surgery was successfully completed in 2 hours, effectively eliminating the malformation and restoring the chest wall to an almost normal appearance.

Related Photos