Language English

Revision Surgery For A 19-year-old Patient With Grooved Chest

Medical History

The 19-year-old male patient was initially misdiagnosed as pectus excavatum at 17 and underwent the Nuss procedure. However, the surgery did not alleviate the sunken deformity in his chest, and what is worse, an abscess appeared on the left side of his chest wall. Consequently, the patient is extremely disappointed with the surgical outcome.

Preoperative Examination

The patient’s anterior chest wall exhibits a prominent depression deformity,characterized by a horizontal groove that affects both sides of the anterior chest wall. There is a surgical scar along the midline and one on the left side, with two scars visible on the right side of the chest wall. A 4x4 cm mass is located on the left chest wall, characterized by darkened skin and noticeable fluctuation upon palpation. The mass extends deep into the intercostal space. Mild scoliosis is also observed. The patient was ultimately diagnosed with grooved chest.

Surgical Overview

Incisions were made along the previous surgical scars on both sides of the chest wall to remove the bars placed during the Nuss procedure. Then, the cyst on the left anterior chest wall was explored and incised through the incision on the left side of the chest wall, and the contents of the abscess were thoroughly debrided. A third incision along the midline scar allowed careful pre-shaping of the depressed bony structure of the anterior chest wall. Two bars were then implanted to complete the Wung procedure. Postoperatively, the chest wall appearance was restored to normal.

Related Photos

Learn More

The failure of the patient’s initial surgery can be attributed to the following factors:

1. Inappropriate Surgical Procedure: grooved chest presents as a relatively flat, horizontal groove-like depression, which differs significantly from the bowl- or cup-shaped depression observed in pectus excavatum. Due to the insufficient height difference between the bottom and edges of the depression, grooved chest cannot provide adequate support points for the Nuss procedure, which is a necessary condition for flipping the bars to elevate the depression during the Nuss procedure, and is directly related to the success of the operation. Therefore, the inappropriate surgical approach is the main reason for the failure of the patient's initial surgery.

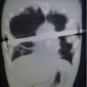
2. Improper bar Placement and Positioning: Preoperative imaging reveals that the bar was positioned along the upper edge of the groove-like depression and was placed at an angle.For optimal support and effective correction of the depressed bony structure, the bar should have been positioned at the base of the depression.

3. Insufficient Number of Bars: In adult patients, the larger chest wall depression and increased bone density generally necessitate the use of at least two bars during corrective surgeries to ensure adequate support and achieve the desired outcome. However, only one bar was used in the patient’s initial surgery, which was insufficient to effectively correct the depression.

4. Failure to Embed the Bar Within Muscle Tissue: In corrective surgeries, bars are typically embedded within the chest wall muscles to facilitate proper healing of the incision and minimize the risk of complications. However, in this patient’s initial surgery, the bar was positioned directly beneath the skin without any muscle coverage. This lack of protective tissue caused constant friction between the bar and surrounding tissues, eventually leading to the development of the abscess.