The patient is a 22-year-old male who developed a slight protrusion in his chest wall during childhood. The chest wall deformity worsened as he grew older, especially after entering puberty, leading to considerable psychological distress. Later, the patient even began to experience symptoms of breathing discomfort, which have substantially interfered with his daily activities. Therefore, he is eager to undergo surgery to completely correct the malformation.
Previous Case
Surgery for A 28-year-old Male Patient w...
Next Case
Surgery for A 7-year-old Child with Asph...
Medical History
Preoperative Examination
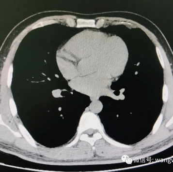
The anterior chest wall exhibits an overall protrusion, and the thoracic cage appears barrel-shaped. The patient was diagnosed with barrel chest.
Surgical Overview
Three bars were used during the Wenlin procedure to correct the chest wall deformity. After the surgery, the deformity disappeared, and the appearance of the chest wall was restored to normal.
Related Photos
Chest wall appearance before the surgery
CT scan before the surgery
Chest wall appearance after the surgery