Language English

Surgery For A 9-month-old Child With Asphyxiating Thoracic Dystrophy

Medical History

The patient, a nine-month-old infant, exhibited a chest wall abnormality along with pronounced breathing difficulties and hypoxia shortly after birth. After a series of examinations, he was diagnosed with asphyxiating thoracic dystrophy(ATD). Due to his critical condition, the child has been hospitalized for emergency resuscitation multiple times.

Preoperative Examination

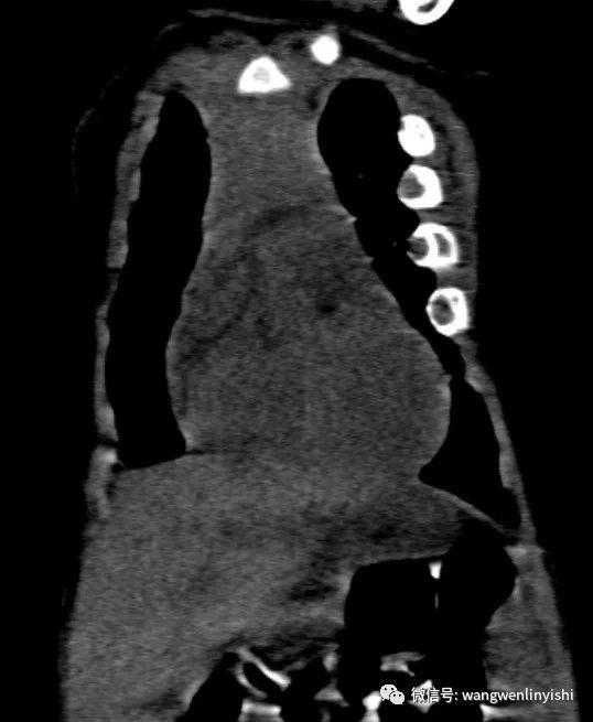
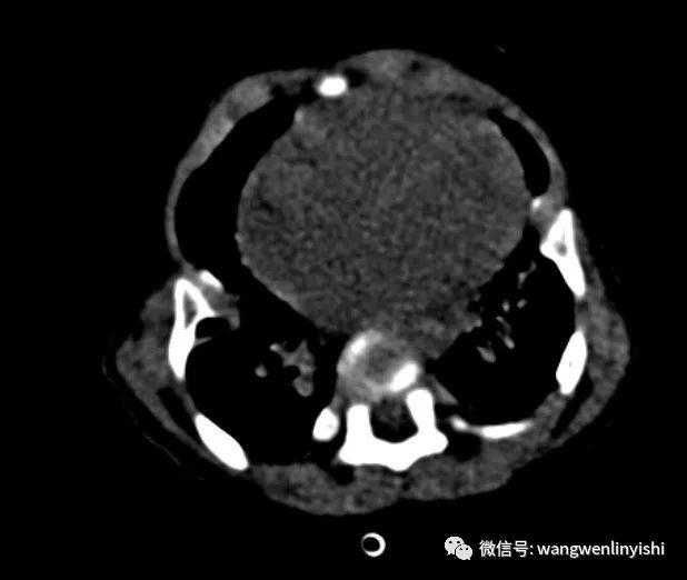
The infant is breathing rapidly, displaying distinct retractions in the suprasternal notch, supraclavicular fossae, and intercostal spaces (three concave signs). The chest appears narrowed, and there are visible depressions on both sides.

Surgical Overview

During the surgery, the Wang procedure was performed twice, using two bars to correct the depressions on both sides of the chest wall. Subsequently, MatrixRIBs were employed to further refine the shape. The surgery was completed in 90 minutes and achieved satisfactory results. After the surgery, the chest wall deformity was effectively corrected, leading to improved respiratory function and stable vital signs.

Related Photos