Language English

Surgery For A 19-year-old Patient With Secondary Pectus Carinatum

Medical History

The patient is a 19-year-old male who underwent surgery for congenital heart disease at the age of 9. During the surgery, the middle part of his sternum was split, compromising the integrity and stability of the chest wall structure. Additionally, inadequate fixation of the chest wall during the closure of the incision led to the development of secondary pectus carinatum, with the chest wall protruding forward within a year after the surgery. Over time, the protrusion became increasingly severe, and by the eighth year after the surgery, the patient began experiencing breathing discomfort.

Preoperative Examination

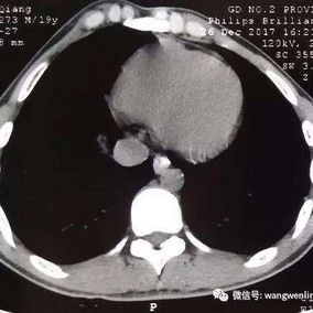
The chest wall exhibits a large area of prominent and bilaterally symmetrical protrusion, predominantly in the upper half. There are also mild depressions on both sides of the lower half of the chest wall.

Surgical Overview

First, two 3 cm incisions were made on each side of the chest wall, followed by a 2 cm incision along the old surgical scar in the middle of the chest wall. Two bars were then placed on the protruding bone structures of the chest wall to perform the Wenlin procedure. Since the anterior chest wall is a rigid whole, correcting and pressing down the protrusion in the upper chest often causes a secondary depression below it. To address this, a third bar was inserted into the chest cavity to perform the Wung procedure, thereby elevating the depressed areas. Ultimately, the patient’s chest wall deformity was corrected, and the surgery achieved a satisfactory outcome.

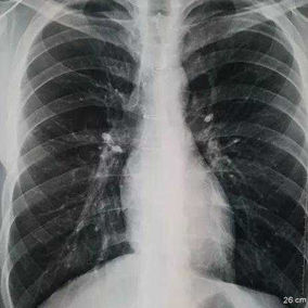
Related Photos

Learn More

While the Ravitch procedure can correct pectus carinatum, it often leads to significant trauma and less satisfactory outcomes, making many patients hesitant to undergo it. In pursuit of a better treatment for pectus carinatum, a new surgical technique—the Wenlin procedure—was developed and refined through extensive practice. In addition to pectus carinatum, this innovative approach can also effectively correct various chest wall deformities that are primarily characterized by protrusion, such as Wenlin chestbarrel chest, as well as complex deformities combined with convexity.

In this case, the patient presented with a severe protruding chest wall accompanied by a slight depression. To achieve a better correction, the Wung procedure was performed subsequent to the Wenlin procedure, so that the concave deformity can be corrected as well.